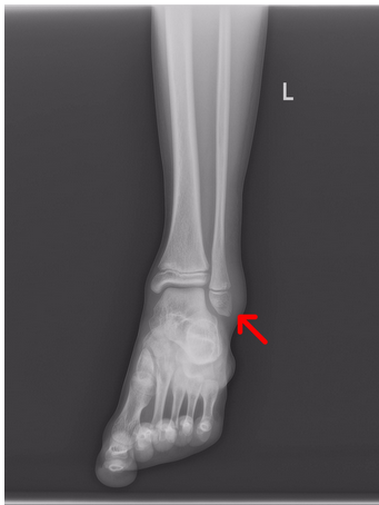
外踝很容易在外力创伤或不适当的运动扭伤踝关节等因素而引起骨折。根据骨折的程度可以选择适当的治疗。

踝骨骨折如果无移位,可以用石膏或夹板固定踝关节。有移位骨折需手法复位后再做外固定。固定期一般在3个月左右。
外踝骨折的关键是骨折后的康复治疗,在做完固定治疗之后,早期就应该进行功能锻炼,比如一开始活动脚指头,可以做被动按摩腿部肌肉,这样可以有效改善血流循环,促进消肿,同时还可以防止肌肉萎缩。等肿胀期过后,可以做一做踝关节的活动,这样可以防止踝关节的粘连等后遗症。
拆除石膏或夹板等固定后,可能会有不同程度的肌肉萎缩及关节僵硬,这个时候可以扶拐杖行走,刚开始行走的时候,可能会出现疼痛,还可能会出现已经消肿的患肢再次肿胀,如果出现肿胀,可以抬高患肢,很快会消肿。行走也应该循序渐进,慢慢增加活动量。同时还可以摇动踝关节,以增加踝关节的灵活性,以利于关节功能的恢复。
外踝骨折应该听从医生的建议,不恰当的治疗可能会遗留踝关节疼痛的后遗症而影响以后的功能。



